Dental Implants In Prestbury, Cheshire.
Restore Your Smile with Pearl Smile
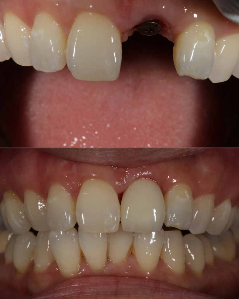
Missing teeth can affect more than just your appearance, they can impact your speech, chewing ability, and self-confidence. Dental Implants in Prestbury, Cheshire at Pearl Smile, offer high-quality dental implant solutions designed to look, feel, and function like natural teeth. Whether you’re missing one tooth or several, our experienced team is here to help you regain a full, healthy smile.
Dental Implants In Prestbury.
What are dental implants?
Dental implants are small titanium posts that act as artificial tooth roots. Once placed into the jawbone, they fuse with the bone over time, providing a strong and stable foundation for a crown, bridge, or denture. Implants are widely regarded as the most reliable and long-lasting solution for tooth loss.
Why Choose Dental Implants?
Expertise and Experience
Our team has extensive experience in placing and restoring implants, ensuring safe and effective treatment.
Personalised Approach
We understand that every smile is unique. We offer bespoke treatment plans to suit your oral health and aesthetic goals.
Advanced Technology
From 3D scans to precision-guided implant placement, we use modern techniques to improve comfort and accuracy.
Comprehensive Aftercare
We support you every step of the way, from initial consultation to post-treatment care.
Have a question about dental implants in Prestbury?
Dental implants are anchored directly into your jawbone, mimicking natural tooth roots. This fusion helps prevent bone loss and maintains facial structure—benefits that bridges or dentures can’t offer long-term.
Age isn’t a barrier—your bone health is. At Pearl Smile in Prestbury, Cheshire, we assess bone density and overall oral health, not just age. Even if bone loss is present, we offer advanced bone grafting techniques to restore the foundation needed for successful implants. Many of our patients in their 60s, 70s, and beyond enjoy full implant restorations with excellent outcomes.
Surprisingly minimal. Most patients report less discomfort than a tooth extraction. With local anaesthesia and optional sedation available at our Prestbury clinic, we prioritise your comfort throughout the process.
The implant is placed in a single appointment, but the next few months are crucial behind the scenes. During this time—typically 3 to 6 months—the implant integrates naturally with your jawbone, creating a stable, long-lasting foundation. You won’t be in discomfort during this period, and temporary solutions are available to maintain your smile in the meantime.
Often, yes. If the bone and gum are healthy, a same-day implant might be viable. Our Prestbury-based implant dentist will evaluate your suitability with advanced imaging.
Not at all. We often treat patients with long-term tooth loss. In some cases, we’ll recommend bone grafting to rebuild lost volume, enabling successful implant placement.
Just like natural teeth—daily brushing, flossing, and regular dental check-ups. At Pearl Smile, we’ll also guide you through an implant-specific hygiene plan.
Absolutely. Each crown is custom-made to match the colour, shape, and size of your surrounding teeth, delivering a seamless, natural smile.
Think of them as a long-term investment in your health, confidence, and quality of life. Unlike cheaper alternatives, implants don’t need replacement every few years and help preserve your jawbone.
Dental implants involve precision surgery, premium biocompatible materials like titanium, and custom-crafted crowns—all designed to permanently integrate with your jawbone. This level of durability, function, and aesthetics naturally carries a higher initial cost than dentures. However, implants are a one-time investment that can last decades, often for life with proper care. In contrast, dentures typically need to be refitted or replaced every 5–8 years due to changes in jaw shape and wear. When you consider replacement costs, adjustments, adhesives, and the lifestyle compromises of dentures, implants often prove more cost-effective in the long run.
